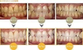
「ホワイトニングは歯が弱る」は嘘?ホント?一生やり続けても大丈夫な理由
ホワイトニングをすると、歯がボロボロになる!? 「車を走らせるとタイヤはすり減りますよね。だから車に乗るのはやめましょう!」 もしそう言われたら、「極論すぎるでしょ」と笑ってしまいますよね。 実は、ホワイトニングの世界で…
ホワイトニングで歯が“削れる”?数字で冷静に検証してみた

ホワイトニングは歯が弱るってホント? 2009年4月16日付の 日経産業新聞 に、米オハイオ州立大学の研究チームが「家庭用の歯の漂白剤が歯の強度を弱める可能性」を示したという記事がありました。「漂白剤メーカーには改良の余…
オールセラミッククラウンの意外な真実!“オール”じゃないって本当?

オールセラミッククラウンの真実 詰め物や被せ物の治療で「どの材質を選べばいいの?」と迷う方、多いのではないでしょうか。歯科の世界では、材質ごとにメリットとデメリットがあります。 まず金属。強度面では信頼できますが、見た目…
ホワイトニングで歯が弱る?実際のところを詳しく解説!

「ホワイトニングをすると歯が弱くなる」という噂、耳にしたことがある人も多いかもしれません。実際、日経産業新聞(2009年4月16日付)には、米オハイオ州立大学の研究チームが「アメリカの家庭で使われている歯の漂白剤が歯の強…
本当に安心?オールセラミッククラウンの真実

歯の詰め物や被せ物の治療を受ける際、どの材料を選べばよいか悩まれる方も多いのではないでしょうか?特に、強度や見た目、アレルギーの心配など、選択にはさまざまな要素が絡んでいます。ここでは、それぞれの材料の特徴と、最近注目さ…
歯の痛みの原因と自力悪化矯正の危険性
時々、何もしていないのに突然歯が痛くなることはありませんか?多くの場合、気がつかないうちに痛みが引くこともあります。しかし、実際には何もしていないわけではなく、無意識に歯を刺激していることが原因です。 例えば、ストレスや…
ホワイトニングは歯が弱るってホント?

日経産業新聞(2009-4-16)にこんな記事が載っていました。米オハイオ州立大学の研究チームは、「米国の家庭で使う歯の漂白剤が歯の強度を弱めることを確認した」「漂白剤メーカーは製品を改良する余地があると指摘した」と発表…
オールセラミッククラウンの嘘と真実

詰め物や被せ物の歯科治療を受ける際、材質についての説明に戸惑っている患者さんは多いでしょう。 まず、金属は強度的には信頼されますが、審美性やアレルギーが気になります。最もアレルギーが少ないとされる純金(Ag)は単独では使…
















