大名歯科院長ブログOHMYO BLOG
舌にギザギザ跡!? それ、ストレス噛みしめ警報です⚡
この記事をFacebookでシェアする


この記事をFacebookでシェアする


――“がんばり屋ほど”舌に跡がつく理由とは?
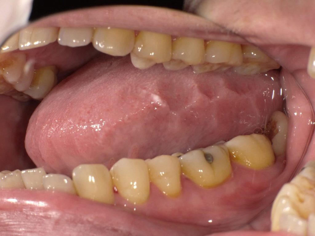
舌の横が凸凹している…それは、ゴザや畳の上で長く正座して脛に跡がつくのと同じ現象です。
本来なら、立って少し動けば跡は消えるはず。けれど、あなたは立ち上がる間もなく“噛みしめ続けて”いませんか?
たとえば――
仕事中、集中してパソコンに向かっているとき。
寝ている間、夢の中でまで歯を食いしばっているとき。
そんな「無意識の噛みしめ」が、舌のギザギザサインとして表れているのです。
💡よくある誤解
「今度から噛みしめないように意識します!」
「噛みしめないように頑張ります!」
…そう言う方が多いのですが、残念ながらどちらも無効です。
なぜなら、“頑張る人”ほど意識できない時に噛みしめてしまうからです。
つまり「意識することを意識する」のは簡単でも、「無意識を変えることを意識する」のはとても難しいのです。
🧘♀️噛みしめ癖を減らすコツ
「あ、肩が上がってる」と氣づいたら、舌を軽く上あごにつけてみましょう。 → これだけで顎の力が抜け、噛みしめが減ります。 鏡を見ながら「歯と歯、くっついてる?」と自問する習慣を。 → 一日3回の“顎ストレッチ”で十分です。 「無意識に力が入っている」と感じたら、深呼吸をひとつ。 → “歯を守る呼吸”です。
🧠まとめ
舌のギザギザは「あなたの無意識が疲れている」サイン。
かみしめを意識で止めようとせず、体のセンサー(舌・肩・呼吸)でゆるめるのがコツです。
頑張らず、氣づく。それが最強のリラックス法です。
Author Profile
- 大名 幸一 Koichi Omyo
Latest entries
予防歯科2026.03.05「毎日しっかり磨いているのに…」とお悩みの方へ。本当に歯を守る『歯肉ケア』の新常識
咬み合わせ2026.03.04「噛み合わせが合わない…」と悩む方へ。歯と顎を守るための意外な新常識
虫歯2026.03.03「虫歯菌がいても虫歯にはならない?」治療を繰り返さない本当の予防法
予防歯科2026.03.02【将来の歯が不安な方へ】80歳で25本残す!後悔しない歯医者の通い方と1日15分の新習慣
この記事をFacebookでシェアする














